Paradontologija

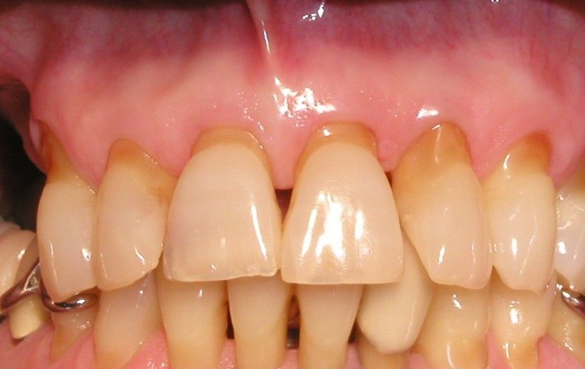
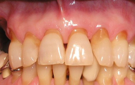
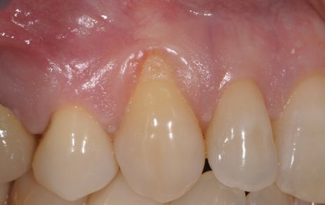
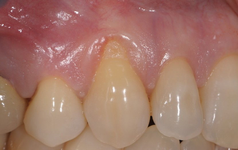
Parodontitis je uz karijes najčešća infektivna bolest današnjice. Parodontitis uzrokuje resorpciju kosti koja okružuje zub pri čemu on gubi svoju potporu Terapija parodontitisa se sastoji od uklanjanja uzročnika bolesti, a to su specifične bakterije koje se zadržavaju na površini zuba iznad i ispod razine zubnog mesa. Te bakterije su zaštićene unutar mekih i tvrdih zubnih naslaga, tj. unutar plaka i kamenca, stoga je te naslage potrebno ukloniti.

Naslage iznad razine zubnog mesa obično uklanjamo ultrazvučnim aparatom koji svojim vibracijama bezbolno uklanja zubni kamenac Naslage ispod razine zubnog mesa uklanjamo kiretažom posebnim instrumentima kojima stružemo površinu zuba. Nakon kiretaže površinu zuba poliramo kako bi smo prevenirali ponovno nakupljanje naslaga. Tijekom ovakve terapije izuzetno je bitna pacijentova suradnja, te besprijekorno održavanje oralne higijene.