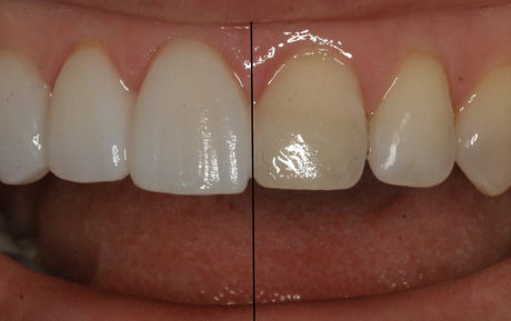
Ljuskice su estetski nadomjesci koji se izrađuju nakon minimalnog brušenja samo prednje stjenke zuba, a u svrhu postizanja visoke estetike prednjih zubi tj. lijepog osmjeha.

Dvije glavne vrste materijala koji se koriste za izradu ljuskica su kompozit i bezmetalna keramika.

Kompozitne ljuskice se najčešće izrađuju direktno u ustima pacijenta, dakle bez nužne suradnje sa zubotehničkim laboratorijem.

Keramičke ljuskice se izrađuju u zubotehničkom laboratoriju press tehnikom ili kompjuteriziranom CAD/CAM tehnologijom. Zbog visoke preciznosti ne uzrokuju iritacije, upale i recesije tj. povlačenje zubnog mesa. Keramičke ljuskice ne mijenjaju boju kao što je to slučaj kod kompozitnog materijala, dugotrajnije su, te zbog refleksije svijetlosti izgledaju prirodnije.

Ljuskice se stavljaju kako bi

  • korigirali oblik zuba
  • korigirali boju
  • korigirali položaj, ispunili razmake (dijasteme) među zubima
  • produljili kratke zube

Uvjet je da zubi nisu jako uništeni karijesom tj. da nemaju velike ispune.

Danas predstavljaju restaurativni estetski izbor u velikom broju kliničkih slučajeva u kojima bi donedavno bile izrađene potpune krunice.