info@daniela-dental.com
+ 385 (0) 21 326 969
Home
Services
Dental Implants & Implant Prosthetics
Dental implants
Crowns, bridges and dentures
Cosmetic dentistry
Veneers
Teeth whitening
Inlay, onlay, overlay
Smile Design
General dental services
Composite filling
Endodontics
Paediatric dentistry
Periodontology
Digital X-ray (RTG, RVG)
Dental treatment gallery
Facial aesthetics
Dental tourism
Gallery
Contact
Home
Services
Dental Implants & Implant Prosthetics
Dental implants
Crowns, bridges and dentures
Cosmetic dentistry
Veneers
Teeth whitening
Inlay, onlay, overlay
Smile Design
General dental services
Composite filling
Endodontics
Paediatric dentistry
Periodontology
Digital X-ray (RTG, RVG)
Dental treatment gallery
Facial aesthetics
Dental tourism
Gallery
Contact
Home
Services
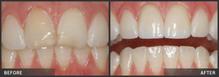
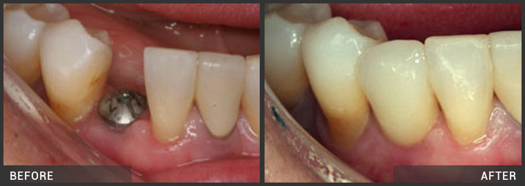
Dental treatment gallery
Dental treatment gallery